Nhiều cha mẹ không biết rằng có thể phân biệt 2 loại răng dựa vào màu sắc, kích thước, số lượng và vị trí mọc. Bài viết dưới đây cung cấp 20+ hình ảnh răng sữa và răng vĩnh viễn để cha mẹ hiểu rõ hơn, không bao giờ nhầm lẫn nữa.
Tổng quan về 2 hệ: răng sữa và răng vĩnh viễn
Mỗi người đều có 2 bộ răng trong đời với hình dáng đặc trưng riêng biệt: ((Parents’ Ability to Distinguish Between Primary and Permanent Teeth. Truy cập ngày 03/ 04/ 2026. https://pubmed.ncbi.nlm.nih.gov/33349300/))
- Răng sữa: Gồm 20 chiếc, kích thước nhỏ, màu trắng đục, bắt đầu mọc trong từ khoảng 6 tháng đến 3 tuổi.
- Răng vĩnh viễn: Gồm 28 – 32 chiếc, kích thước lớn hơn, màu trắng ngả vàng, bắt đầu thay thế răng sữa từ khoảng 6 tuổi.
Giai đoạn phát triển răng của mỗi người:
- Giai đoạn 1 (0 – 5 tuổi): 20 răng sữa hoàn thiện.
- Giai đoạn 2 (6 – 12 tuổi): Giai đoạn răng hỗn hợp: răng sữa và răng vĩnh viễn cùng tồn tại trên một hàm.
- Giai đoạn 3 (Từ 12 tuổi trở đi): 28 – 32 răng vĩnh viễn hoàn thiện.

Hình ảnh răng sữa và răng vĩnh viễn & cách phân biệt theo 6 tiêu chí
Cha mẹ có thể xác định 2 loại răng dựa vào 6 tiêu chí sau: màu sắc, kích thước và hình dáng, số lượng, chân răng, độ dày men răng, buồng tuỷ. Dưới đây là mô tả chi tiết về từng tiêu chí, kèm hình ảnh răng sữa và răng vĩnh viễn giúp cha mẹ dễ dàng phân biệt hơn.
Màu sắc – Trắng đục & trắng ngà/vàng
Răng sữa có thành phần vô cơ ít, lớp men răng mỏng, ánh sáng xuyên qua trông trắng hơn. Trong khi đó, răng vĩnh viễn có lớp men dày và có màu trắng ngả vàng tự nhiên.
Nhiều cha mẹ trăn trở khi thấy răng vĩnh viễn vừa mọc có màu vàng hơn. Đây là hiện tượng hoàn toàn bình thường, không cần phải lo lắng.

Kích thước và hình dáng thân răng
Răng sữa có bề ngang rộng hơn chiều cao. Khi so sánh với răng vĩnh viễn, răng sữa thấp hơn, mặt nhai thu hẹp nhiều hơn, cổ răng thắt lại.
Trong khi đó, răng vĩnh viễn có rìa cắn/ núm răng rõ ràng. Đặc biệt răng cửa khi mới mọc có núm nhỏ trên rìa cắn hình gợn sóng, sẽ mòn dần theo thời gian. ((Baby teeth diagram. Truy cập ngày 03/ 04/ 2026. https://www.mayoclinic.org/healthy-lifestyle/childrens-health/multimedia/baby-teeth-diagram/img-20007781))

Số lượng – 20 chiếc & 28 – 32 chiếc
Răng sữa: Bao gồm 4 răng cửa giữa, 4 răng cửa bên, 4 răng nanh, 4 răng hàm nhỏ 1, 4 răng hàm nhỏ 2. Tổng cộng có 20 chiếc.
Răng vĩnh viễn: Bao gồm 28 chiếc cơ bản và 4 răng khôn (có thể mọc hoặc không tùy thuộc vào kích thước xương hàm của từng người).
Điểm quan trọng: Mỗi người có 12 răng vĩnh viễn mọc mà không thay bất kỳ răng sữa nào gồm 6 răng hàm lớn, 4 răng hàm số 7 và 2 răng hàm số 8. Đây là điểm nhiều phụ huynh thường không để ý, không hướng dẫn bé chăm sóc cẩn thận dẫn đến sâu răng hàm vĩnh viễn. Nếu sâu nghiêm trọng, răng sẽ bị phá huỷ hoàn toàn và phải nhổ bỏ.

Chân răng – Mảnh và rộng & Ngắn và dày
Đối với răng sữa, chân răng dài và mảnh hơn so với thân răng. Các chân răng hàm tách ra thành nhiều nhánh (2 – 3 nhánh), xoè rộng ngay từ gần cổ răng, trông như càng cua tạo khoảng trống bên dưới để chứa và bảo vệ mầm răng vĩnh viễn.
Khi đến tuổi thay răng, chân răng sữa tiêu dần (ngắn lại và biến mất). Răng bắt đầu lung lay và rụng để nhường chỗ cho răng vĩnh viễn mọc lên.
Răng vĩnh viễn có chân to hơn, dày và chắc, không xoè rộng vì không còn răng nào mọc bên dưới nữa.

Độ dày men răng – 1mm & 2 – 3mm
Răng sữa: Men răng dày khoảng 1mm. Cấu trúc xốp, ít khoáng hơn, dễ bị axit từ vi khuẩn phá hủy nên tỷ lệ sâu răng cao hơn. Sâu răng sữa tiến triển rất nhanh, lan vào tuỷ trong thời gian ngắn, gây đau nhức dữ dội chỉ sau vài tuần.
Răng vĩnh viễn: Men răng dày khoảng 2 – 3mm, giàu khoáng, chắc, cứng, bền, chịu lực nhai và chống sâu răng tốt hơn.

Buồng tủy – Lớn hơn & nhỏ hơn
Buồng tuỷ là phần nằm sâu bên trong răng, chứa dây thần kinh và mạch máu, không thể nhìn thấy bằng mắt thường. ((Dental Pulp – an overview. Truy cập ngày 03/ 04/ 2026. https://www.sciencedirect.com/topics/medicine-and-dentistry/dental-pulp))
Đối với răng sữa, buồng tuỷ chiếm diện tích lớn hơn so với toàn bộ thân răng, hay nói cách khác khoảng cách từ bên ngoài men răng đến tủy là rất ngắn. Do đó, sâu răng sữa dễ vào tuỷ nên cần điều trị sớm, không thể “tự khỏi”.
Răng vĩnh viễn có lớp men dày hơn, nên buồng tuỷ chiếm tỷ lệ nhỏ hơn, sâu răng tiến triển chậm trước khi vào tuỷ.

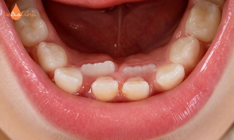
Hình ảnh giai đoạn răng sữa và răng vĩnh viễn cùng tồn tại
Giai đoạn răng sữa và răng vĩnh viễn cùng tồn tại còn gọi là giai đoạn răng hỗn hợp. Đây là thời điểm chuyển giao quan trọng trong sự phát triển răng miệng của bé.
Giai đoạn răng sữa và răng vĩnh viễn cùng tồn tại là khi nào?
Trong khoảng 8 – 12 tuổi, hàm của bé đã mọc lẫn lộn răng sữa và răng vĩnh viễn. Khi nhìn vào miệng bé có thể thấy răng to, răng nhỏ, răng trắng đục, răng hơi ngả vàng tự nhiên xen kẽ nhau. Cha mẹ đừng quá lo lắng khi thấy hàm răng lộn xộn trong giai đoạn này vì đây là quá trình sinh lý bình thường.
Hình ảnh hàm răng bé trong giai đoạn “hỗn hợp”
- Hình ảnh răng sữa và răng vĩnh viễn thực tế của trẻ 6 tuổi: Răng cửa sữa bên cạnh răng hàm vĩnh viễn số 6 mới mọc.

- Hình ảnh răng sữa và răng vĩnh viễn thực tế của trẻ 8 tuổi: Răng cửa sữa đã thay, răng vĩnh viễn cửa to hơn, nhưng răng nanh sữa vẫn còn.

- Hình ảnh răng sữa và răng vĩnh viễn thực tế của trẻ 10 tuổi: Đa số răng đã được thay, chỉ còn 2 – 4 răng sữa phía sau.

Hướng dẫn ba mẹ phân biệt răng sữa và răng vĩnh viễn cho con tại nhà
Cha mẹ dễ dàng phân biệt răng sữa và răng vĩnh viễn bằng cách quan sát một số dấu hiệu đơn giản như sau:
- Nhìn vào màu sắc: Răng sữa màu trắng đục. Răng vĩnh viễn màu trắng hơi ngả vàng.
- So sánh kích thước: Răng vĩnh viễn to hơn hẳn so với răng sữa.
- Kiểm tra có lung lay không: Trẻ trong độ tuổi 5 – 12 có răng lung lay nhẹ thì nhiều khả năng đó là răng sữa đang chờ thay.
- Nhìn rìa cắn: Nếu có núm nhỏ gợn sóng ở rìa cắn thì là răng cửa vĩnh viễn mới mọc. Răng sữa bề mặt trơn, không có gợn này.
- Đếm số lượng: Bé có dưới 20 chiếc răng là chưa mọc đủ răng sữa. Nếu có đúng 20 chiếc, không mọc thêm là đang đủ răng sữa. Nếu có trên 20 chiếc là chắc chắn đã có răng vĩnh viễn mọc lên.
- Xuất hiện 2 hàng răng: Răng vĩnh viễn mọc chồi sau răng sữa chưa rụng.
- Vị trí: Răng hàm lớn từ răng số 6 mọc phía trong cùng luôn là răng vĩnh viễn ngay từ đầu, không có răng sữa tương ứng.
- Độ tuổi của bé: Bé dưới 5 tuổi gần như 100% là răng sữa. Bé trên 12 – 13 tuổi hầu hết là răng vĩnh viễn.
Nếu cha mẹ vẫn còn phân vân, có thể đưa bé đi nha sĩ chụp X-quang để chỉ ra đâu là răng sữa, răng vĩnh viễn chính xác 100%.

Tầm quan trọng của việc phân biệt răng sữa và răng vĩnh viễn
Việc nhận biết đúng loại răng ảnh hưởng trực tiếp đến sức khỏe răng miệng lâu dài của trẻ:
- Tránh nhổ răng sữa quá sớm: Cha mẹ biết đâu là răng sữa để bảo tồn đến đúng tuổi thay, không nhổ sớm. Đây là cách giữ chỗ cho răng vĩnh viễn mọc đúng vị trí, thẳng hàng, hạn chế nguy cơ răng mọc lệch, chen chúc, dẫn đến sai khớp cắn.
- Bảo vệ răng vĩnh viễn: Cha mẹ biết đâu là răng vĩnh viễn để hướng dẫn bé chăm sóc cẩn thận, tránh nhổ nhầm. Vì răng vĩnh viễn không thể mọc lại nếu mất.
- Điều trị sớm răng sữa sâu: Cha mẹ đưa bé đi trám răng nếu phát hiện sâu răng sữa để tránh viêm tuỷ, nhiễm trùng, ảnh hưởng xấu đến mầm răng vĩnh viễn bên dưới.
- Không hiểu lầm “đây là răng sẽ thay”: Cha mẹ phân biệt được đâu là răng vĩnh viễn mới mọc, đặc biệt là răng số 6, tránh xử lý sai cách khi răng bị sâu.
Răng và nướu của bé vô cùng nhạy cảm vì phải trải qua nhiều giai đoạn phát triển khác nhau. Vì vậy, việc lựa chọn sản phẩm chăm sóc phù hợp là vô cùng quan trọng.
Cha mẹ có thể tham khảo kem đánh răng hữu cơ NeBiolina từ Italy với chiết xuất yến mạch, nước ép lá lô hội giúp làm dịu nướu, giảm tình trạng viêm, sưng đau, tấy đỏ trong quá trình thay răng. Sản phẩm còn chứa xylitol có vị ngọt tự nhiên từ thực vật kích thích tiết nước bọt, ngăn ngừa sâu răng, canxi lactate hỗ trợ khoáng hoá, giúp răng chắc khỏe.

Mong rằng bài viết trên đã cung cấp đủ hình ảnh răng sữa và răng vĩnh viễn giúp cha mẹ dễ dàng phân biệt, từ đó đưa ra những quyết định đúng đắn trong việc chăm sóc cũng như giải quyết các vấn đề răng miệng của bé. Nếu còn bất kỳ thắc mắc nào, mời bạn truy cập website NeBiolina hoặc liên hệ trực tiếp hotline 1900 636 985 để nhận được tư vấn từ các chuyên gia.





